W artykule przedstawimy szczegółowe informacje na temat zatoki skalistej dolnej, jej anatomii, funkcji oraz potencjalnych problemów zdrowotnych, które mogą się z nią wiązać. Zrozumienie tej struktury jest ważne dla każdego, kto interesuje się anatomią mózgu i jego funkcjonowaniem.
Kluczowe informacje:- Zatoka skalista dolna jest parzystą strukturą anatomiczną w mózgu.
- Pełni ważną rolę w odpływie krwi z mózgu, co jest kluczowe dla jego prawidłowego funkcjonowania.
- Znajduje się w obrębie opony twardej, w grupie dolnej zatok mózgowych.
- Problemy zdrowotne związane z zatoką mogą prowadzić do poważnych komplikacji, takich jak zakrzepy czy infekcje.
- Diagnostyka i leczenie zaburzeń związanych z zatoką skalistą dolną są kluczowe dla utrzymania zdrowia neurologicznego.
Zatoka skalista dolna - definicja i podstawowe informacje
Zatoka skalista dolna (łac. sinus petrosus inferior) to parzysta struktura anatomiczna, która należy do grupy dolnych zatok opony twardej mózgowia. Jej główną funkcją jest odprowadzanie krwi z mózgu, co jest kluczowe dla utrzymania prawidłowego ciśnienia wewnątrzczaszkowego. Zatoka ta znajduje się w obrębie czaszki, a jej obecność jest niezbędna dla prawidłowego funkcjonowania układu nerwowego. Warto zaznaczyć, że zatoka skalista dolna ma znaczenie nie tylko anatomiczne, ale także kliniczne, ponieważ jej dysfunkcje mogą prowadzić do poważnych problemów zdrowotnych.
W kontekście zdrowia, znaczenie zatoki skalistej dolnej jest szczególnie widoczne w przypadku chorób neurologicznych. Zrozumienie jej roli w organizmie jest kluczowe dla specjalistów zajmujących się diagnostyką i leczeniem zaburzeń mózgowych. W kolejnych częściach artykułu przyjrzymy się bliżej jej anatomii oraz funkcjom, jakie pełni w układzie nerwowym.
Czym jest zatoka skalista dolna i jej rola w organizmie
Zatoka skalista dolna odgrywa istotną rolę w układzie żylnym mózgu, uczestnicząc w procesie drenażu krwi z obszarów mózgowych. Jej funkcja polega na zbieraniu krwi żylnej z różnych struktur mózgu i kierowaniu jej do większych naczyń krwionośnych, co jest kluczowe dla prawidłowego krążenia. Zatoka ta współpracuje z innymi strukturami, takimi jak zatoka skalista górna oraz żyły mózgowe, co podkreśla jej znaczenie w kontekście anatomicznym i fizjologicznym.
Bez prawidłowego funkcjonowania zatoki skalistej dolnej, organizm mógłby doświadczać problemów z ciśnieniem krwi w obrębie czaszki, co mogłoby prowadzić do bólu głowy, zawrotów głowy, a w skrajnych przypadkach do poważnych stanów chorobowych. Dlatego też, znajomość jej roli i funkcji jest niezbędna dla lekarzy i specjalistów zajmujących się zdrowiem mózgu.
Anatomia zatoki skalistej dolnej - lokalizacja i struktura
Zatoka skalista dolna znajduje się w obrębie czaszki, w dolnej części opony twardej. Jest to struktura parzysta, co oznacza, że występuje po obu stronach mózgu. Zlokalizowana jest w pobliżu kości skroniowej, w okolicy, gdzie łączy się z innymi zatokami mózgowymi. Jej położenie jest kluczowe dla zrozumienia jej funkcji w układzie żylnym mózgu.
Struktura zatoki skalistej dolnej jest charakterystyczna, ponieważ składa się z cienkich ścianek, które są otoczone tkanką łączną. Wnętrze zatoki wypełnione jest krwią żylną, a jej ściany są bogate w naczynia krwionośne. Zatoka ta łączy się z innymi ważnymi strukturami, takimi jak zatoka skalista górna oraz żyły mózgowe, co podkreśla jej znaczenie w kontekście anatomicznym i funkcjonalnym.
Jak wygląda zatoka skalista dolna w kontekście neuroanatomii
Zatoka skalista dolna jest elementem skomplikowanej sieci naczyń krwionośnych w obrębie mózgu. W neuroanatomii jej wygląd można opisać jako struktura o nieregularnym kształcie, która ma za zadanie zbierać krew z różnych obszarów mózgu. Zawiera ona również liczne połączenia z innymi zatokami, co jest istotne dla prawidłowego krążenia krwi. Warto dodać, że zatoka skalista dolna jest często przedstawiana na diagramach anatomicznych, które ilustrują jej położenie w stosunku do innych struktur mózgowych.
W celu lepszego zrozumienia jej kontekstu neuroanatomicznego, można znaleźć diagramy, które pokazują, jak zatoka skalista dolna łączy się z innymi elementami układu żylnego mózgu. Takie wizualizacje są pomocne w nauce i zrozumieniu roli tej struktury w organizmie.
Czytaj więcej: Zatoka lądującego smoka w Wietnamie - najpiękniejsze atrakcje i porady
Funkcje zatoki skalistej dolnej - dlaczego jest istotna
Zatoka skalista dolna pełni kluczowe funkcje w układzie nerwowym, w szczególności w kontekście krążenia żylnego. Jej główną rolą jest odprowadzanie krwi z obszarów mózgu do większych naczyń, co jest niezbędne dla utrzymania prawidłowego ciśnienia wewnątrzczaszkowego. Zatoka ta współpracuje z innymi strukturami, takimi jak zatoka skalista górna, aby skutecznie transportować krew, co zapobiega jej zastojom. Oprócz tego, zatoka skalista dolna ma istotny wpływ na regulację ciśnienia w mózgu, co jest kluczowe dla jego prawidłowego funkcjonowania.
Warto również zauważyć, że funkcje zatoki skalistej dolnej mają znaczenie w kontekście patologii neurologicznych. Dysfunkcje tej struktury mogą prowadzić do poważnych problemów zdrowotnych, takich jak zwiększone ciśnienie wewnątrzczaszkowe czy bóle głowy. Dlatego też, zrozumienie jej roli w organizmie jest kluczowe dla specjalistów zajmujących się diagnostyką i leczeniem schorzeń neurologicznych.
Jakie są kluczowe funkcje zatoki skalistej dolnej w układzie nerwowym
W kontekście układu nerwowego, zatoka skalista dolna pełni kilka kluczowych funkcji. Przede wszystkim, odpowiada za regulację ciśnienia krwi w obrębie czaszki, co jest niezbędne dla prawidłowego funkcjonowania mózgu. Dodatkowo, uczestniczy w drenażu krwi żylnej, co pomaga w utrzymaniu równowagi płynów w mózgu. Zatoka ta jest także zaangażowana w transport metabolitów oraz produktów przemiany materii, co jest niezbędne dla zdrowia neuronów.
- Regulacja ciśnienia wewnątrzczaszkowego, co zapobiega uszkodzeniom mózgu.
- Odprowadzanie krwi z mózgu do większych naczyń, co wspiera krążenie.
- Transport metabolitów, co jest kluczowe dla zdrowia komórek nerwowych.
| Funkcja | Opis |
| Regulacja ciśnienia | Utrzymanie równowagi ciśnienia wewnątrzczaszkowego. |
| Transport krwi | Odprowadzanie krwi żylnej do większych naczyń. |
| Transport metabolitów | Usuwanie produktów przemiany materii z mózgu. |
Problemy zdrowotne związane z zatoką skalistą dolną
Zatoka skalista dolna może być narażona na różne problemy zdrowotne, które mogą wpływać na jej funkcjonowanie. Jednym z najczęstszych problemów jest zakrzepicainfekcje, które mogą wpłynąć na zatokę i otaczające struktury, prowadząc do stanów zapalnych oraz dalszych komplikacji zdrowotnych.
W przypadku wystąpienia problemów zdrowotnych związanych z zatoką skalistą dolną, ważne jest szybkie zdiagnozowanie i podjęcie odpowiednich działań. Nieleczone schorzenia mogą prowadzić do poważnych powikłań, takich jak uszkodzenie mózgu czy trwałe zaburzenia neurologiczne. Dlatego tak istotne jest, aby osoby z objawami sugerującymi problemy z zatoką skalistą dolną niezwłocznie zgłosiły się do specjalisty.
Jakie schorzenia mogą wpływać na funkcjonowanie zatoki
W kontekście zatoki skalistej dolnej, istnieje kilka specyficznych schorzeń, które mogą wpływać na jej funkcjonowanie. Jednym z nich jest zakrzepica zatoki, która może prowadzić do poważnych komplikacji, takich jak udar mózgu. Innym problemem są infekcje, które mogą być spowodowane przez bakterie lub wirusy, prowadząc do stanów zapalnych i bólu. W przypadku wystąpienia tych schorzeń, kluczowe jest szybkie rozpoznanie i wdrożenie odpowiedniego leczenia, aby zapobiec dalszym powikłaniom.

Diagnoza i leczenie zaburzeń związanych z zatoką
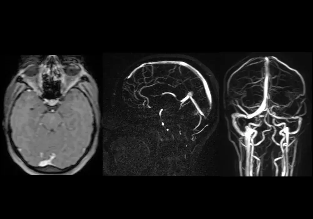
W przypadku problemów zdrowotnych związanych z zatoką skalistą dolną, kluczowe jest przeprowadzenie dokładnej diagnostyki. Wśród metod diagnostycznych najczęściej stosowane są badania obrazowe, takie jak tomografia komputerowa (CT) oraz rezonans magnetyczny (MRI). Te techniki pozwalają na uzyskanie szczegółowych obrazów zatoki oraz otaczających ją struktur, co jest istotne w identyfikacji ewentualnych nieprawidłowości. Dodatkowo, w niektórych przypadkach lekarze mogą zlecić badania krwi, aby wykluczyć infekcje lub inne schorzenia, które mogą wpływać na funkcjonowanie zatoki.Po postawieniu diagnozy, leczenie zaburzeń związanych z zatoką skalistą dolną może obejmować różne podejścia. W przypadku zakrzepicy, lekarze często stosują terapię farmakologiczną, taką jak leki przeciwzakrzepowe, aby poprawić krążenie krwi. W przypadku infekcji, konieczne może być wdrożenie antybiotykoterapii. W bardziej skomplikowanych przypadkach, takich jak poważne uszkodzenia zatoki, może być konieczna interwencja chirurgiczna. Kluczowe jest, aby leczenie było dostosowane do indywidualnych potrzeb pacjenta oraz specyfiki problemu zdrowotnego.
Jakie metody diagnostyczne są stosowane w przypadku zatoki skalistej dolnej
Diagnostyka zatoki skalistej dolnej opiera się na kilku sprawdzonych metodach. Najczęściej wykorzystuje się rezonans magnetyczny (MRI), który dostarcza szczegółowych obrazów tkanek miękkich i struktur anatomicznych, co umożliwia ocenę stanu zatoki. Tomografia komputerowa (CT) jest również powszechnie stosowana, szczególnie w nagłych przypadkach, aby szybko ocenić ewentualne uszkodzenia. Dodatkowo, lekarze mogą zlecić ultrasonografię, aby ocenić przepływ krwi w obrębie zatoki oraz wykryć ewentualne zakrzepy.
Nowoczesne podejścia w diagnostyce i terapii zatoki skalistej dolnej
W miarę postępu technologii medycznych, nowoczesne podejścia w diagnostyce i leczeniu problemów związanych z zatoką skalistą dolną stają się coraz bardziej zaawansowane. Wykorzystanie sztucznej inteligencji w analizie obrazów medycznych, takich jak MRI czy CT, może znacznie zwiększyć dokładność diagnoz oraz przyspieszyć proces identyfikacji nieprawidłowości. Algorytmy uczenia maszynowego są w stanie wykrywać subtelne zmiany, które mogą umknąć ludzkiemu oku, co pozwala na wcześniejsze interwencje i lepsze wyniki leczenia.
Dodatkowo, rozwój terapii minimalnie inwazyjnych technik chirurgicznych, takich jak endoskopia, otwiera nowe możliwości dla pacjentów z problemami zatoki skalistej dolnej. Dzięki tym technikom, lekarze mogą przeprowadzać zabiegi z mniejszym ryzykiem powikłań i krótszym czasem rekonwalescencji. W przyszłości, połączenie nowoczesnych technologii diagnostycznych z innowacyjnymi metodami leczenia może zrewolucjonizować podejście do schorzeń związanych z zatoką skalistą dolną, poprawiając jakość życia pacjentów i ich zdrowie neurologiczne.Dodatkowo, rozwój terapii minimalnie inwazyjnych technik chirurgicznych, takich jak endoskopia, otwiera nowe możliwości dla pacjentów z problemami zatoki skalistej dolnej. Dzięki tym technikom, lekarze mogą przeprowadzać zabiegi z mniejszym ryzykiem powikłań i krótszym czasem rekonwalescencji. W przyszłości, połączenie nowoczesnych technologii diagnostycznych z innowacyjnymi metodami leczenia może zrewolucjonizować podejście do schorzeń związanych z zatoką skalistą dolną, poprawiając jakość życia pacjentów i ich zdrowie neurologiczne.